Anche con poco osso

Grazie all’implantologia rigenerativa

Senza stress e dolore

Grazie alla sedazione, il laser, lo scanner

Senza più pensieri

Protesi e impianti certificati che durano nel tempo

Implantologia Computer Guidata

Precisione, Comfort e Risultati Immediati

Un nuovo sorriso in sole 2 sedute

Con l'implantologia computer guidata, il tuo sorriso può tornare splendente in tempi record!

Grazie alla chirurgia guidata e all’innovativo flusso digitale in 3D, bastano solo due sedute per ottenere risultati straordinari:

  • Prima seduta: acquisizione digitale delle impronte con uno scanner 3D, TAC dentale e foto per pianificare il trattamento.
  • Seconda seduta: posizionamento degli impianti tramite una dima chirurgica, senza necessità di bisturi o punti di sutura.

Un Intervento Rivoluzionario

  • Nessuna incisione: niente bisturi, niente punti.
  • Riduzione dei disagi: meno dolore, guarigione più rapida e ritorno immediato alla quotidianità.
  • Rapidità e precisione: intervento completato in soli 15 minuti grazie alla pianificazione digitale.

La Tecnologia che Fa la Differenza

Grazie alla combinazione di TAC, scansione ottica intraorale e software avanzati, possiamo pianificare l’intervento con assoluta precisione prima ancora di iniziarlo. Le informazioni raccolte vengono trasferite a una dima chirurgica personalizzata, una mascherina innovativa che guida l’inserimento degli impianti nei punti ideali per una stabilità ottimale e una perfetta predisposizione alla protesi futura.

Un’Esperienza Senza Pari

Con l’implantologia computer guidata, i pazienti possono contare su un’esperienza chirurgica priva di disagi, un recupero immediato e risultati naturali, visibili già a poche ore dall’intervento.

Guarda il video per ascoltare la testimonianza di chi ha già riscoperto il piacere di sorridere con sicurezza grazie alla chirurgia guidata in 3D!

Impronta digitale

Con l’avvento delle tecnologie Cad Cam oramai siamo in grado di progettare e realizzare su pc, prima ancora che in bocca, qualsiasi manufatto per l’odontoiatria.

A partire da un’impronta “DIGITALE” senza materiali ne portaimpronta ma con uno Scanner intraorale, si elabora su pc il prodotto necessario (Invisalign, bite notturno, manufatti protesici, protesi parziali e totali ecc), si invia il file ad un laboratorio che processa e realizza virtualmente e poi fattivamente il prodotto finito.

Tempi ridotti, fastidi ridotti, invasività ridotta, possibile dialogo con il paziente per scelte colori e morfologia migliore e soprattutto costi ridotti.

Sorriso 10 giorni!

Grazie alle nostre tecnologie digitali.

La gestione delle tecnologie digitali e l’informatizzazione del nostro studio consentono, ad oggi di poter offrire ai nostri pazienti la possibilità di ottenere rapidamente e con sedute dai tempi ridotti una serie di prestazioni cliniche in grado di restituire il sorriso in pochi giorni.

La necessità di effettuare una terapia estetica ed il piacere a veder migliorato il proprio aspetto e la propria vita di relazione con gli altri, sono il nostro obbiettivo e impegno.

Il colore, la forma, la posizione dei propri denti è facilmente gestibile in fase progettuale con software digitale già dalla prima visita, il paziente infatti dopo un’acquisizione digitale dell’immagine dei propri denti può visualizzare sul monitor la propria situazione di partenza e quella finale desiderata.

Se dobbiamo effettuare un lavoro di protesi fissa come delle faccette o delle corone (dente completamente ricoperto da una capsula) è ora possibile simulare in un file sul pc la soluzione piu idonea e se questa è soddisfacente per noi e per il paziente avviare la produzione dello stesso già alla fine della prima seduta.

Sarà possibile cosi in poco tempo consegnare il lavoro finito al paziente poiché sono azzerati i tempi di ritiro, consegna e lavoro manuale al banco del laboratorio del tecnico, il tutto è realizzato su pc e poi creato grazie a stampa digitale in 3D oppure a fresatura di un blocco di materiale sempre gestito da software 3D.

Mascherine per lo sbiancamento, mascherine ortodontiche trasparenti, mascherine guida per la chirurgia, corone protesiche e faccette saranno tutte realizzate con questo sistema, garantendo precisione e tempi ridotti di attesa al paziente.

Attualmente la tecnologia che già ci consente di disegnare oggetti come auto, telefoni moto e aerei è entrata di prepotenza nel mondo odontoiatrico, precisione velocità e semplicità sono le sue caratteristiche principali, per informazioni dettagliate e commisurate alle proprie necessità, basta chiamare i nostri numeri e ricevere informazioni specifiche.

Chirurgia Sonica

  • Minima invasività chirurgica e riduzione dei disagi per il paziente
  • Rapida guarigione post-operatoria rispetto alle tecniche tradizionali
  • Maggiore precisione chirurgica, che aumenta l’efficacia terapeutica

Nel nostro Studio utilizziamo, già da anni, una nuova tecnica di osteotomia (taglio dell’osso) chiamata piezosurgery, che consente appunto di sostituire al bisturi tradizionale, l’uso del laser.

In ambito implantare e parodontale, l’applicazione della chirurgia piezoelettrica o a sub-suoni si sta affermando sempre più come valida alternativa di supporto alle tecniche standard di chirurgia ossea. L’intervento con piezosurgery non solo è decisamente meno invasivo, ma consentirà anche una guarigione più favorevole, con ridotti disagi post-operatori.

Tecnica di aumento verticale del volume osseo per poter riabilitare zona edentula con spessori insufficienti per terapia implantare

Cone Beam Computer Tomography

La Cone Beam Computer Tomography (CBCT) rappresenta una tecnologia avanzata di imaging tridimensionale, particolarmente utile nel campo dell'odontoiatria e della chirurgia maxillo-facciale. Questa tecnica diagnostica offre immagini ad alta risoluzione del cranio e dei denti, permettendo una visualizzazione dettagliata delle strutture ossee e dei tessuti molli. Grazie alla sua precisione, la CBCT è diventata uno strumento indispensabile nella pianificazione di interventi complessi, come il rialzo del seno mascellare.

Implantologia Roma

Rialzo seno mascellare

Il rialzo del seno mascellare è un procedimento chirurgico volto ad aumentare la quantità di osso disponibile nella parte posteriore dell'arcata superiore, spesso necessario prima dell'inserimento di impianti dentali. La CBCT gioca un ruolo cruciale in questo processo, permettendo al chirurgo di valutare con precisione la morfologia del seno mascellare, la densità ossea e la posizione di strutture critiche come nervi e vasi sanguigni. Queste informazioni sono fondamentali per programmare l'intervento, minimizzare i rischi e ottimizzare i risultati.

La CBCT nel rialzo del seno mascellare

Attraverso l'uso della CBCT, il chirurgo può pianificare l'intervento con un livello di dettaglio senza precedenti, scegliendo la strategia più adatta e personalizzata per il paziente. La capacità di simulare l'intervento in un ambiente virtuale consente di anticipare possibili complicazioni e di agire con precisione chirurgica, migliorando significativamente le probabilità di successo dell'impianto e la soddisfazione del paziente. In sintesi, la CBCT è uno strumento rivoluzionario che ha trasformato la pratica del rialzo del seno mascellare, rendendolo più sicuro, prevedibile e efficace.

Implantologia Roma

Chirurgia 3D guidata

Questa tecnologia, a differenza della chirurgia classica, consente di:

  • Velocizzare i tempi dell’intervento
  • Operare in modo più preciso
  • Avere una guarigione più veloce

Il nostro studio offre la possibilità ai propri pazienti di effettuare interventi chirurgici per inserimento impianti con la Tecnica 3D Guidata, ciò significa che è possibile operare, grazie ad una programmazione del caso sul computer, in minor tempo e senza usare bisturi o incidere le gengive e senza quindi applicare punti di sutura. Questo consente tempi di intervento ridotti, minor traumatismo sui pazienti e una guarigione rapida e senza complicanze.

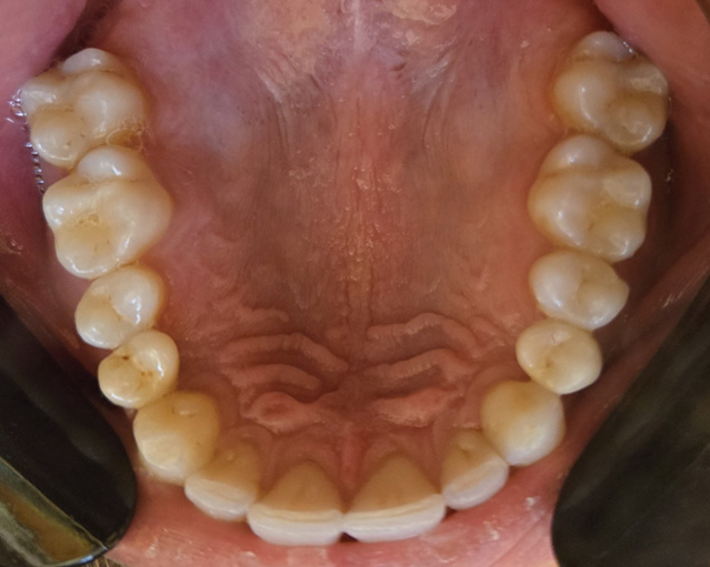
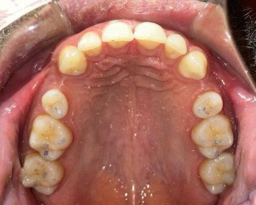
Caso clinico

Implantologia guidata 3D

Prima

Dopo

Implantologia guidata 3D per agenesia dei premolari – tecnica One Step

In questo caso, l’assenza congenita dei premolari è stata trattata con un approccio digitale: progettazione 3D e posizionamento degli impianti tramite guida chirurgica. La procedura “One Step” ha permesso di ottimizzare tempi e precisione, con un percorso più prevedibile e controllato.

Viale Giuseppe Mazzini, 144 - 00195 Roma (RM)

© 2020. Iscrizione Albo n° 3401, Laurea in Odontoiatria e Protesi Dentaria anno 1996 P.I. 10271670589
Declino Responsabilità | Privacy | Cookie Policy | Gestisci cookie

+393933904425