Preciso

Taglio estremamente selettivo senza anestesia

Sicuro

Trattamenti con effetto decontaminante e biostimolante

Veloce

Riduce i tempi di riparazione tissutale. Senza punti di sutura

Scopri i vantaggi del Laser

Odontoiatria Roma Prati

  • Mai più Anestesia 
  • Mai più Trapano
  • Mai più Sanguinamento
  • Mai più Suture
  • Massima Igiene
  • Rapidità di Guarigione

I Laser vengono ampiamente utilizzati in vari campi della medicina e di recente sono stati introdotti anche in ambito dentale.

Trattamenti con i Laser

  • Sbiancamento
  • Devitalizzazione
  • Tasche parodontali
  • Sensibilità dentale
  • Afte ed Herpes
  • Macchie sui denti e gengive
  • Perimplantite
  • Gengive doloranti
  • Stimolazione in terapia ortodontica

Vuoi saperne di più?

Chiedi informazioni al Dr. Moscato

Come funziona

La parola Laser sta per “light amplification by stimulated emission of radiation” ed è una tecnologia che trasforma fasci di luce in energia meccanica, termica o chimica.

In medicina ciò ha permesso di eseguire interventi chirurgici e terapie con un forte approccio mininvasivo. Si pensi, ad esempio, alla chirurgia refrattiva (la vista) per la riduzione della miopia o dell’astigmatismo.

Laser Dentale

Oramai è un intervento effettuato in day-hospital, rapido e con decorso post-operatorio molto breve,riducendo notevolmente i fastidi per il paziente. Lo stesso avviene per l’applicazione dei laser dal dentista. Le ben note terapie dal dentista a cui spesso ci siamo sottoposti e di cui ricordiamo fastidi o per le quali abbiamo percepito dolore vengono completamente stravolte mediante l’utilizzo dei laser, portando vantaggi enormi (vedi sopra) al paziente ed una diversa esperienza di cura dal dentista : rapida, in totale serenità ed in sicurezza.

Mai più ansia dal dentista!

Il Laser in Odontoiatria

Rapidità, Comfort e Innovazione

Ormai è un intervento che si effettua in pochi minuti, rapido e con un decorso post-operatorio molto breve, riducendo notevolmente i fastidi per il paziente. Lo stesso vale per l’applicazione del laser dal dentista. Le ben note terapie a cui ci siamo spesso sottoposti e che ricordiamo per i fastidi o il dolore percepito vengono completamente rivoluzionate grazie all’utilizzo del laser. Questo porta enormi vantaggi al paziente e offre una nuova esperienza di cura dal dentista: rapida, in totale serenità e sicurezza.

Grazie all'effetto terapeutico della luce laser e alla sua capacità di lavorare in maniera selettiva sui tessuti bersaglio, non si ha più necessità del bisturi, delle suture e di lunghe terapie farmacologiche. Inoltre, per i trattamenti chirurgici, è sufficiente un semplice spray anestetico superficiale. Riusciamo, inoltre, a evitare nell'80% dei casi la terapia chirurgica parodontale convenzionale, lavorando al di sotto della gengiva in modo indolore e mini-invasivo.

Nel nostro studio, anche lo sbiancamento con gel a base di perossido al 38% viene gestito direttamente con la luce laser: indolore, veloce e risolutivo. Il paziente, infatti, non avverte alcun calore o dolore né durante l’applicazione né dopo.

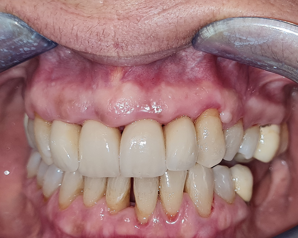
Risultati clinici

200 Casi Risolti nel mio studio

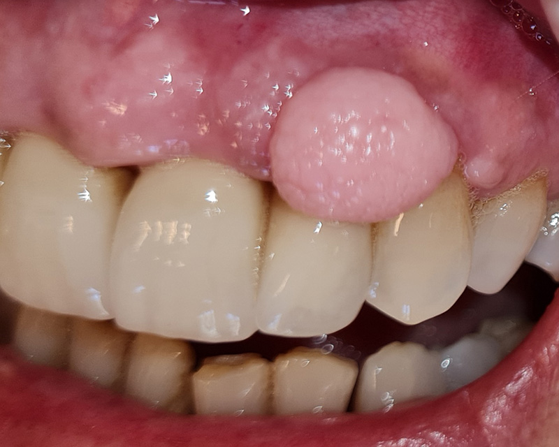
Paziente con afta risolta in 10 minuti

Caso risolto con LASER

  • Una seduta
  • Anestesia in crema
  • Guarigione: 10 gg

Scopri alcuni casi brillantemente risolti dal Dottor Moscato e le molteplici applicazioni del laser

Clicca qui

Affidati sempre alla Professionalità e all’ Esperienza

Dottor  Marco Moscato

Dentista dal 1996

Relatore e Formatore sulle tecniche Laser

1000 ore dedicate a colleghi in tutta Italia per l’insegnamento 

Hai domande?

Viale Giuseppe Mazzini, 144 - 00195 Roma (RM)

© 2020. Iscrizione Albo n° 3401, Laurea in Odontoiatria e Protesi Dentaria anno 1996 P.I. 10271670589
Declino Responsabilità | Privacy | Cookie Policy | Gestisci cookie

+393933904425